减抗禁抗时代的到来给畜牧养殖业带来新的挑战,寻找优质、高效、安全的替抗产品是推动畜牧养殖业健康发展的关键。细菌性腹泻是蛋鸡养殖业中最为常见的一种疾病,由于抗生素的不合理使用,导致耐药菌株逐渐增多,近年来产蛋鸡顽固性腹泻增多。微生态制剂是由具有益生功能活菌制剂制备的安全可靠的饲料添加剂,是极具潜力的替抗产品之一。肠道作为动物机体养分消化和吸收的主要代谢场所,也是机体发挥防御和免疫功能最重要的器官,肠道表面寄生的微生物构筑了肠道的第一道生物屏障。丁酸梭菌是革兰氏阳性菌中的一种厌氧的芽孢杆菌,抗逆性强,能够耐高温、酸性条件。丁酸梭菌的代谢产物具有抑菌、促生长、调节肠道健康等多种功能。粪肠球菌代谢会产生乳酸,是一种公认的抗逆性较强的益生乳酸菌,能够抑制病原菌在动物肠道内的黏附和增殖,改善动物肠道健康状况,进而提高动物生长和生产水平。前期研究表明,产蛋鸡饲粮中添加枯草芽孢杆菌能够提高蛋鸡生产性能,改善蛋品质和肠道绒毛发育,以及调节盲肠微生物组成。丁酸梭菌、枯草芽孢杆菌和粪肠球菌作为减抗替抗绿色、高效的新型饲料添加剂,具有较好的应用前景。本试验以海兰褐蛋鸡为研究对象,研究复合微生态制剂对蛋鸡的生产性能、肠道黏膜形态、肠道有害菌、粪便含水率和氮排泄的影响,为微生态制剂在蛋鸡生产中的应用和替抗产品研发提供参考。
1 材料与方法
1.1 材料
某品牌复合微生态制剂,主要组分为:丁酸梭菌、枯草芽胞杆菌、粪肠球菌。
1.2 方法
1.2.1 试验设计
试验选用6000只150日龄的健康状况良好且体重相近的海兰褐商品蛋鸡,随机分为对照组和试验组。对照组饲喂基础日粮,基础日粮参照《家禽营养需要》(NRC,1994)和海兰公司蛋鸡营养标准配制,日粮配方为:豆粕25%,玉米60.5%,预混料5%,贝壳8%,麸皮1.5%。试验组在基础日粮中添加0.05%复合微生态制剂。试验期共90d。饲养试验在盐城市农科院生态养殖基地进行。试验蛋鸡采用3层阶梯式笼养方式,自由饮水、采食。光照强度15lux,光照时间16h,鸡舍日常管理根据盐城市农科院生态养殖基地管理规范进行。
1.2.2 检测指标与方法
(1)生产性能测定:试验期间每天14:00定时收蛋,分别记录产蛋总数、总蛋重、死淘数等数据,每周统计一次蛋鸡饲料消耗量,计算试验期间各组产蛋率、平均蛋重、料蛋比和死淘率。(2)粪便水分和粗蛋白测定:在试验第 90天,试验组和对照组各固定6笼位,采集鲜鸡粪样品,每个采样点采集5份粪便样品混合均匀,作为1个样品,共采12个样品,测定粗蛋白和水分指标。粗蛋白质测定参照国标GB/T6432.水分的测定参照国标GB/T6435.计算蛋鸡氮排泄率,计算公式:氮排泄率(%)=粪尿氮/食入氮x100.(3)蛋鸡肠道黏膜形态及测定:在试验第90天,对照组和试验组各随机取6只鸡进行屠宰,酒精消毒后迅速剖开腹腔,取十二指肠、空肠、回肠各2cm,置于4%多聚甲醛溶液中固定。脱水石蜡包埋后,用苏木精-伊红(HE)染色。显微镜下观察切片,并用相机处理软件测量绒毛高度和隐窝深度,并计算绒隐比(绒毛高度与隐窝深度的比值)显微镜型号为日本尼康80i,相机处理软件为NISElemenys D。(4)肠道大肠菌群分离检测:试验试验第0天、第90天,试验组各随机取12只鸡进行屠宰,采集盲肠内容物样品,开展大肠菌群分离培养检测。大肠菌群检测参照《食品安全国家标准食品微生物学检验大肠菌群计数》(GB4789.3-2016)(5)病死鸡病理剖检:试验期间,对试验组和对照组所有死淘蛋鸡进行病理剖检,统计因细菌性腹泻病死淘汰的蛋鸡数量。
1.2.3 统计与分析
数据经Exce1 2010软件进行处理。
2 结果与分析
2.1 生产性能指标的测定结果
由表1可知,与对照组相比,试验期间试验组产蛋率提高6.76%,平均蛋重增加0.51%,料蛋比降低1.79%,死淘率降低5.33%。
表1 微生态制剂对蛋鸡生产性能的影响
|
组别 |
平均产蛋率(%) |
平均蛋重(g) |
料蛋比 |
死淘率(%) |
|
试验组 |
89.53 |
58.85 |
2.24 |
0.75 |
|
对照组 |
95.58 |
59.15 |
2.20 |
0.71 |
2.2 粪便水分和粗蛋白测定结果
由表2可知,与对照组相比,试验组蛋鸡粪便含水率下降1.36%,粗蛋白含量下降3.95%,氮排泄率降低3.95%。
表2 微生态制剂对蛋鸡粪便成分的影响
|
组别 |
含水率(%) |
粗蛋白含量(%) |
氮排泄率(%) |
|
试验组 |
78.39 |
6.84 |
38.41 |
|
对照组 |
77.32 |
6.57 |
36.89 |
2.3 蛋鸡肠道黏膜形态及其测定结果
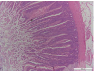
由图1-7可知,与对照组相比,饲粮中添加微生态制剂改善了十二指肠和空肠黏膜形态;与对照组相比,试验组十二指肠绒隐比提高7.00%;试验组空肠绒隐比提高8.79%。

图1 微生态制剂对肠道黏膜(绒毛长度/隐窝深度)的影响

图2 对照组十二指肠切片 图3 试验组十二指肠切片

图4 对照组空肠切片 图5 试验组空肠切片

图6 对照组回肠切片 图6 试验组回肠切片
2.4 肠道大肠菌群分离检测结果
通过在试验组蛋鸡饲料中添加微生态制剂,蛋鸡盲肠中大肠菌群第0天检出率58.33%,第90天检出率33.33%,降低了42.85%。病外鸡病理剖检结果试验期间,对照组死淘总数25只,对病死鸡病理剖检发现3只因细菌性腹泻死亡;试验组死淘总数19只,对病死鸡病理剖检发现1只因细菌性腹泻死亡;与对照组相比,试验组因细菌性腹泻死淘的蛋鸡数占蛋鸡总死淘数比例降低了56.17%。
3 讨论
3.1 复合微生态制剂对蛋鸡生产性能的影响
复合微生态制剂是将多种有益菌、酶制剂复合,可协同发挥多菌酶的生物学活性。褚素乔等研究表明,在蛋鸡基础日粮饲粮中添加益生菌微生态制剂,可提高罗曼褐蛋鸡的产蛋率和平均蛋重,降低料蛋比,同时提高鸡蛋的蛋白高度。也有研究结果显示,蛋鸡生产中添加微生态制剂可降低死淘率,显著改善蛋品质,明显提高鸡禽流感抗体的效价水平。本试验结果显示,复合微生态制剂饲喂3个月后,试验组蛋鸡的产蛋率提高6.76%,平均蛋重增加 0.51%,料蛋比降低1.79%,死淘率降低5.33%,细菌性腹泻死淘蛋鸡数占蛋鸡死淘总数比例降低了56.17%,与前人研究结果相似。
3.2 复合微生态制剂对蛋鸡肠道黏膜形态的影响
肠道形态结构是衡量动物肠道发育状态的重要指标之一。健康的肠道形态是营养物质高效吸收的基础,主要包括绒毛高度、隐窝深度和绒隐比等。丁酸梭菌和粪肠球菌均是蛋鸡肠道益生菌,其代谢产生的乳酸、丁酸等短链脂肪酸,能够降低胃肠道内pH,抑制一些致病菌的定植和生长,改善肠道健康。王水等研究表明,饲粮中添加2.5x108CFU/kg的丁酸梭菌,能够显著提高蛋鸡小肠各肠段的绒毛高度以及回肠的绒隐比,并且对十二指肠和回肠的肠壁厚度也有改善作用。本试验结果显示,饲粮添加由丁酸梭菌、枯草芽孢杆菌和粪肠球菌组成的复合微生态制剂能够提高十二指肠和空肠的绒毛高度及绒隐比,与上述研究结果相似。复合微生态制剂对蛋鸡肠道形态的改善,一方面是因为丁酸梭菌代谢产生的丁酸,是结肠黏膜细胞生长的主要能源物质,也是修复肠上皮细胞和细胞再生所需的主要营养物质,对维持肠上皮的正常结构及促进肠道细胞的增殖和分化具有重要作用;另一方面,也可能是由于粪肠球菌具有很强的黏附作用,能够紧密附着在肠道表面,形成生物屏障,从而保护肠道结构;也可能是益生菌和酶制剂联合产生作用,具体的作用机制尚待研究。
3.3 复合微生态制剂对蛋鸡有害菌、粪便含水率和氮排泄的影响
大肠杆菌是蛋鸡体内的一种条件致病菌,目前因高密度集约化养殖增加了鸡群的发病率,同时抗生素的长期使用导致大肠杆菌耐药日益严重,给我国蛋鸡养殖带来了巨大经济损失。有研究表明,蛋鸡日粮中适量添加复合微生态制剂,可提高产蛋后期生产性能,降低料蛋比,提高肠道内植物乳杆菌含量,同时降低大肠杆菌含量。本试验在第90天采样检测,发现饲喂复合微生态制剂的试验组大肠菌群检出率显著降低了42.85%,有效抑制肠道有害菌的增殖。鸡粪水分含量过高会影响鸡舍内外的环境,易滋生有害昆虫,易释放氨气、硫化氢等有害气体,直接着导致鸡群生产性能降低,从而会降低企业的养殖效益。前人研究显示,在饲粮中添加微生态制剂对可一定程度上提高生产性能,同时,蛋鸡粪便含水率呈降低趋势,但差异不显著。本试验显示,复合微生态制剂饲喂组相比对照组蛋鸡粪便含水率下降1.36%,粗蛋白含量下降3.95%,氮排泄率降低3.95%。鸡粪含水率的降低一定程度上说明了蛋鸡腹泻症状改善,同时有利于降低粪污处理成本,同时氮排泄量减少,说明了复合微生态制剂提高了蛋鸡的饲料转化率,有助于节本增效,减少对环境的污染。
4 结论
本试验条件下,饲粮添加0.05%复合微生态制剂能够显著提高蛋鸡的产蛋性能、改善肠道健康,提高饲料利用率,降低氮的排泄量,抑制大肠菌群的增殖,有效减少了蛋鸡细菌性腹泻的发病率。

-
[02-02]
-
[01-26]
-
[01-19]
-
[01-12]
-
[01-05]
-
[12-22]
-
[10-13]
-
[10-08]
-
[09-22]
-
[09-15]



